
CHAMPS RESOURCES
CHAMPS Resources
A child who died of cerebral malaria complicated by a serious undiagnosed bacterial infection

A three year old boy came to a health center after 3 days of fever, severe headache, vomiting and thirst. He was diagnosed with malaria and started on malaria treatment.
However, he kept getting worse over the next day. He was sent from the health center to a referral hospital. When he arrived at the hospital, he was unresponsive and could not be resuscitated.
Uncovering the Cause
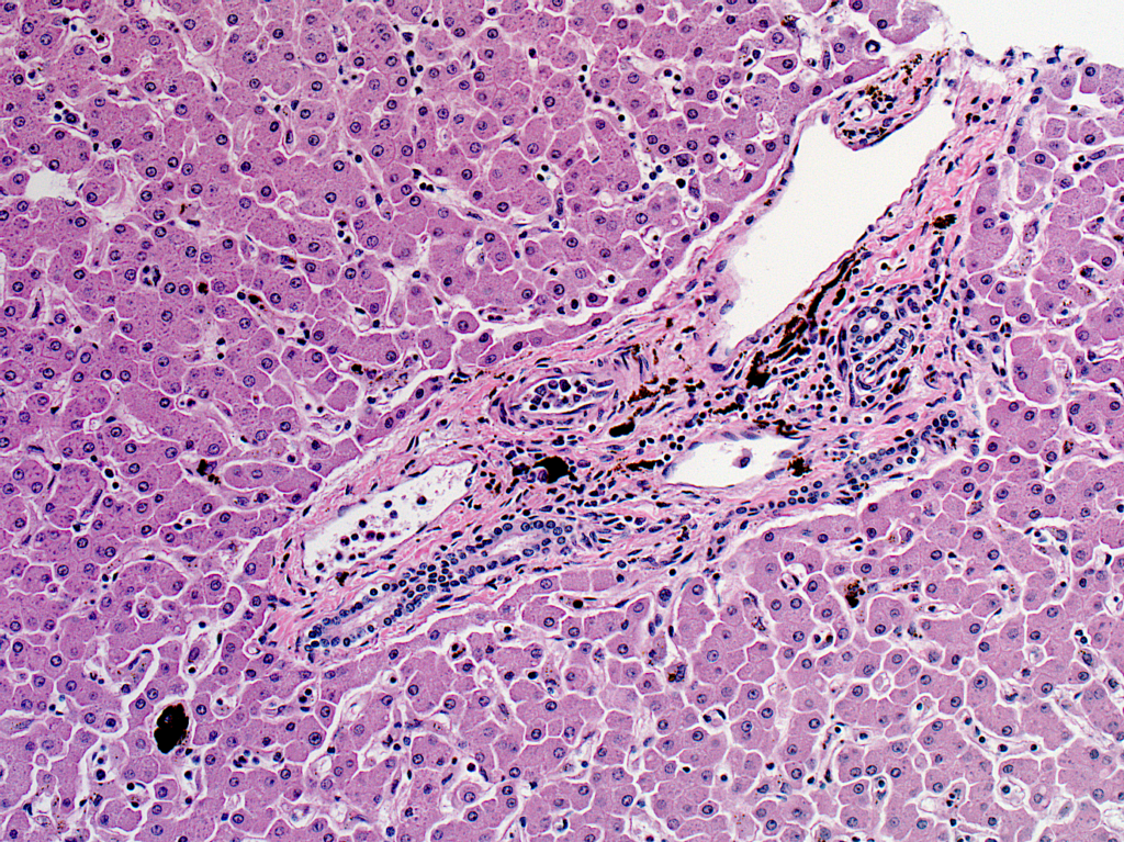
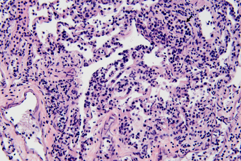
CHAMPS laboratory tests confirmed the presence of Plasmodium falciparum malaria. The child’s blood culture after death was positive for three different bacteria, including Streptococcus pneumoniae. Tests of his blood and tissues also showed evidence of several organisms. In this case, pathologists examined the child’s tissues and determined that the true cause of his serious bacterial infection was Streptococcus pneumoniae in addition to confirming the diagnosis of malaria caused by Plasmodium falciparum.
CHAMPS confirmed that this young boy’s cause of death was cerebral malaria along with a serious bacterial infection that complicated his course.

Pathology images






Public Health Implications
Malaria remains an important cause of child mortality for previously healthy children in much of the world. Efforts are ongoing to prevent children from getting malaria. When children do get malaria,the World Health Organization (WHO) recommends that those who have signs of severe malaria receive antibiotics for the possible complication of serious bacterial infection in addition to malaria medication. Children with severe malaria may also need faster transfer of their care to a referral facility if they are stable. This case shows the importance of rapid recognition of severe malaria so that appropriate care can be given.
Interested in CHAMPS’s pathology slide images?
Email data@champshealth.org to learn more!