
BACKGROUND
Malaria
Malaria is an infectious disease causes by one of 5 species of the Plasmodium parasite; most deaths from malaria are caused by Plasmodium falciparum. People become infected when they are bitten by Anopheles mosquitos that carry the parasite. Malaria symptoms include fever, chills, headache, and fatigue. Severe cases can have loss of consciousness, seizures, bleeding, difficulty breathing, and jaundice. People with some immunity to Plasmodium can have infections without any symptoms. People at highest risk for severe malaria infection include young children, pregnant women, persons with HIV, and travelers going to a region that has malaria.
CHAMPS Sites with Endemic Malaria

MALARIA
Quick Facts
Malaria continues to devastate many communities, especially in sub-Saharan Africa, where children under five make up the majority of deaths from malaria. CHAMPS is helping to combat this crisis by accurately identifying deaths from malaria in children and determining what measures are needed to prevent these deaths.
0
estimated number of malaria deaths in 2023
0 %
proportion of malaria deaths the occurred in Africa
0 %
proportion of malaria deaths in Africa that occurred in children <5 years
0
Number of malaria vaccines now available for young children
World Health Organization Malaria. https://www.who.int/health-topics/malaria#tab=tab_1. Accessed June 2025.
Malaria is major contributor to deaths among infants and children 1-59 mo where transmission is high
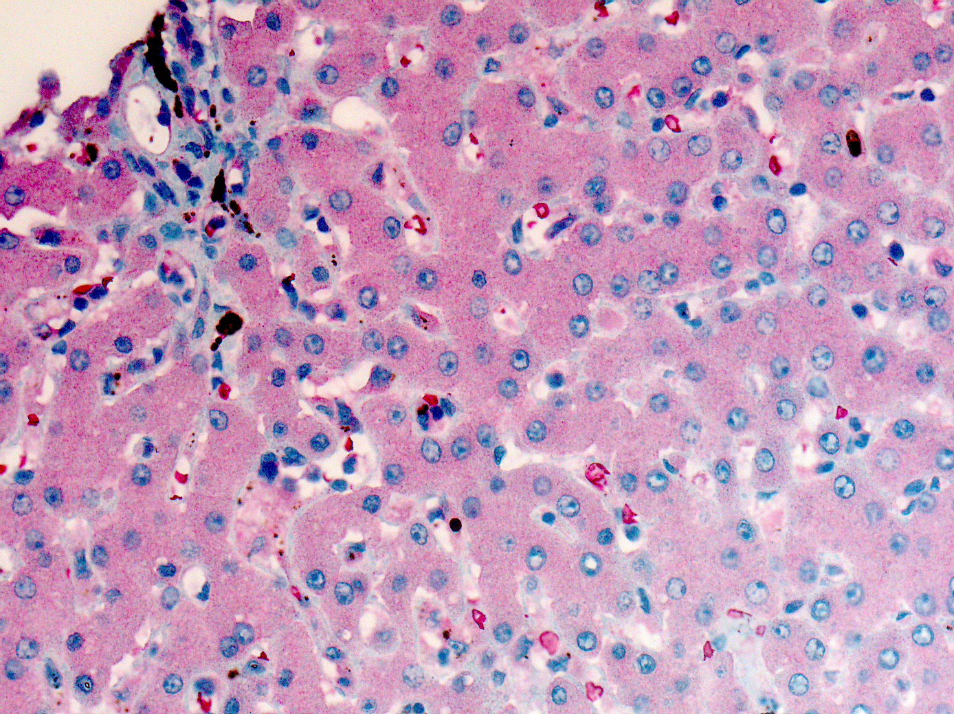
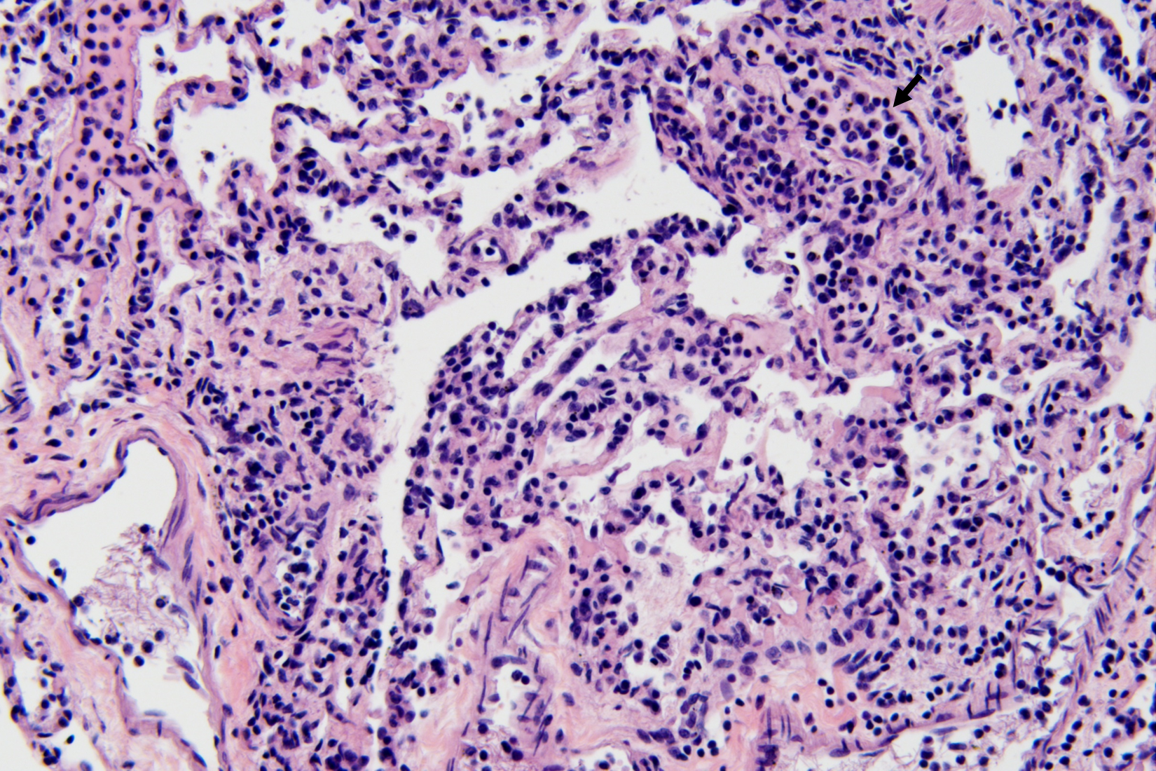
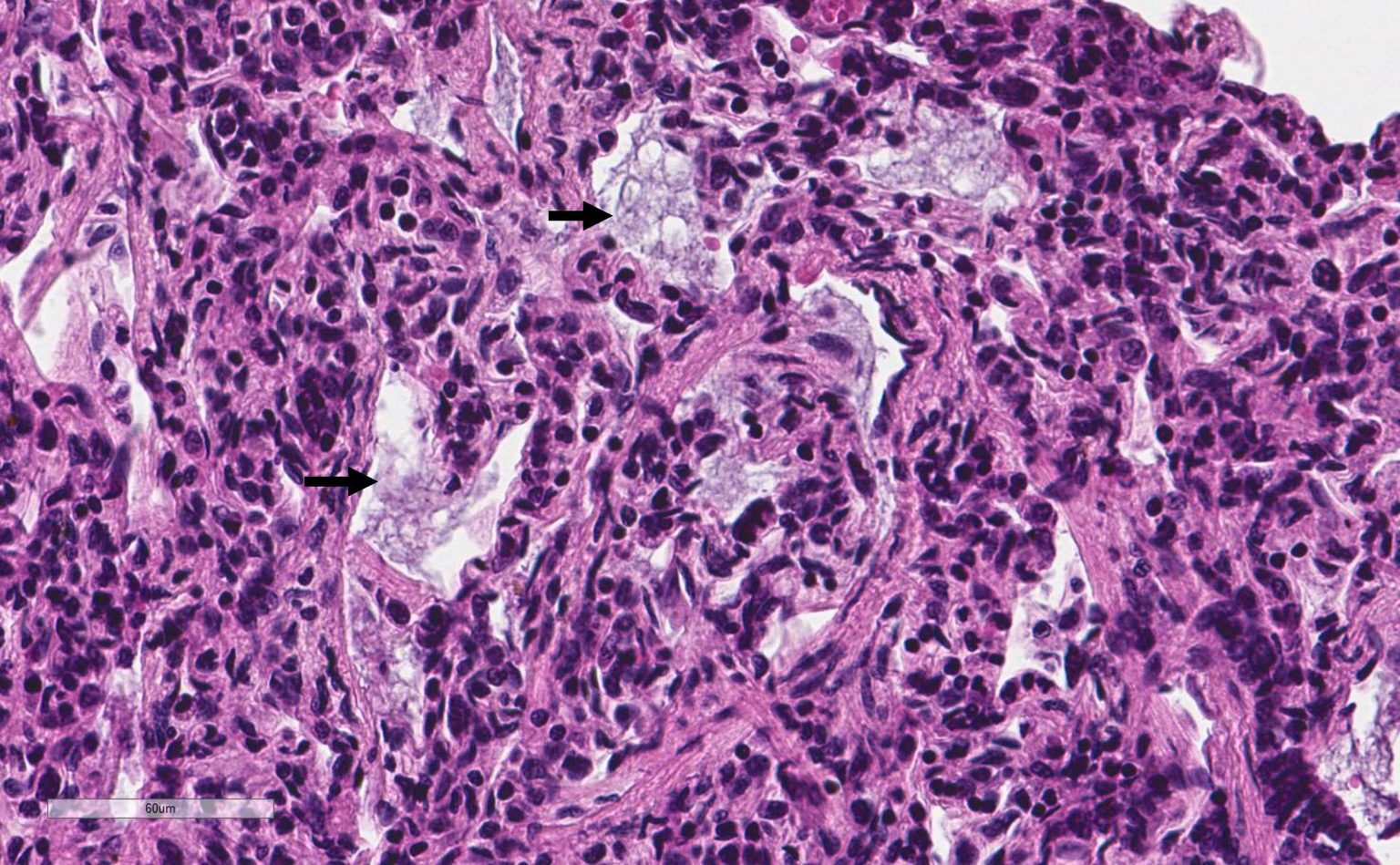
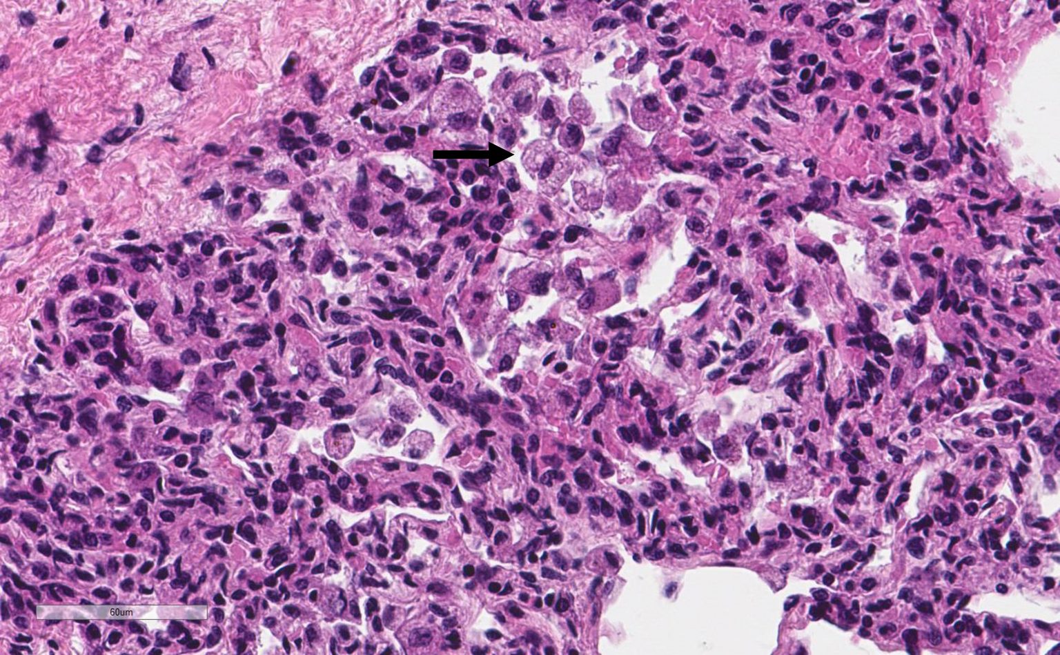
CHAMPS tests for malaria parasites in blood using smears and rapid antigen tests, in blood and spinal fluid using polymerase chain reaction (PCR), and in tissues using routine pathology and immunohistochemistry staining
- As of 31 August 2025, CHAMPS identified 444 deaths caused by malaria. Two deaths occurred in newborns.
- All other deaths were among infants and children under five.
- Overall, malaria contributed to 21.8% of infant and under-five child deaths.
- Of 1453 total infant and child deaths that occurred in four malaria-endemic CHAMPS sites (Figure 1): 30.1% were caused by malaria. 8.5% tested positive for malaria, but other diseases caused the death.
| Age Group | Bangladesh (n=16) |
Ethiopia (n=155) |
Kenya (n=490) |
Mali (n=168) |
Mozambique (n=301) |
Sierra Leone (n=494) |
South Africa (n=408) |
Total* (n=2032) |
|---|---|---|---|---|---|---|---|---|
| Infant (28 days to less than 12 months) (n=1049) | 0 | 0 | 55 | 3 | 11 | 41 | 0 | 110 |
| Child (12-59 months) (n=983) | 0 | 4 | 103 | 12 | 48 | 164 | 1 | 332 |
| Total (n=2032) | 0 | 4 | 158 | 15 | 59 | 205 | 1 | 442 |
Number of infants and child deaths enrolled by CHAMPS site and whether the child died from malaria,tested positive but died from other causes, or tested negative for malaria.
The CHAMPS Network collects cause of death data for stillbirths and children <5 years of age across seven countries in sub-Saharan Africa and South Asia; Mozambique began enrollment in 2016, South Africa, Kenya, Mali, and Bangladesh began in 2017, and Sierra Leone and Ethiopia began in 2019. Between December 3, 2016, and December 31, 2022, a total of 5894 cases underwent Minimally Invasive Tissue Sampling (MITS), with 4661 cases had a Cause of Death (CoD) determined through a Determination of Cause of Death (DeCoDe) panel across the 7 sites. Malaria relates deaths were concentrated in Sierra Leona, Kenya, Mozambique, and Mali. South Africa recorded a singular Malaria death. There were no malaria deaths recorded in Ethiopia or Bangladesh.
Number of deaths by site and proportion of deaths that had malaria anywhere in the causal chain in infants and children.
Reference
Ogbuanu, I. U., Otieno, K., Varo, R., Sow, S. O., Ojulong, J., Duduyemi, B., Kowuor, D., Cain, C. J., Rogena, E. A., Onyango, D., Akelo, V., Tippett Barr, B. A., terKuile, F., Kotloff, K. L., Tapia, M. D., Keita, A. M., Juma, J., Assefa, N., Assegid, N., … Bassat, Q. (2024). Burden of child mortality from malaria in high endemic areas: Results from the CHAMPS network using minimally invasive tissue sampling. Journal of Infection, 88(3). https://doi.org/10.1016/j.jinf.2024.01.006
CHAMPS conducted minimally invasive tissue sampling (MITS) deceased children aged 1 to 59 months at 7 sites in sub-Saharan Africa and South Asia from December 3, 2016, to December 3, 2020. Data analysis was conducted between October and November 2021.The expert panel attributed underlying, intermediate, and immediate conditions in the chain of events leading to death, based on histopathologic analysis, microbiological diagnostics, clinical data, and verbal autopsies.In this study, MITS was performed in 632 deceased children (mean [SD] age at death, 1.3 [0.3] years; 342 [54.1%] male).
The 6 most common underlying causes of death were malnutrition (104 [16.5%]), HIV (75 [11.9%]), malaria (71 [11.2%]), congenital birth defects (64 [10.1%]), lower respiratory tract infections (LRTIs; 53 [8.4%]), and diarrheal diseases (46 [7.2%]).
Reference
Bassat, Q., Blau, D. M., Ogbuanu, I. U., Samura, S., Kaluma, E., Bassey, I., Sow, S., Keita, A. M., Tapia, M. D., Mehta, A., Kotloff, K. L., Rahman, A., Islam, K. M., Alam, M., El Arifeen, S., Gurley, E. S., Baillie, V., Mutevedzi, P., Mahtab, S., … Madhi, S. A. (2023). Causes of death among infants and children in the Child Health and Mortality Prevention Surveillance (CHAMPS) Network. JAMA Network Open, 6(7), e2322494. https://doi.org/10.1001/jamanetworkopen.2023.22494
Deaths by Infectious Cause: Malaria
CHAMPS Mortality Category
Frequency of Malaria as CHAMPS Mortality Category
Malaria Parasites
Frequency of parasites found for deaths with Malaria as the Underlying Cause of Death.
Characteristics of Malaria Deaths
The data below is from an analysis of post-neonatal deaths from Sierra
Leone, Kenya, Mali, and Mozambique (n = 858, with n = 262 malaria deaths)
Malaria-attributed deaths were found to occur at a significantly older age compared to
non-malaria deaths
More malaria deaths were in boys than in girls.
Healthcare received in children who died from malaria
Reported symptoms in children who died from malaria
Among the 262 malaria cases, 19 (7.3%) were co-infected with HIV, with the majority occurring in Kenya (12/19)
Co-morbid conditions in children who died from malaria (n=249)
Treatments received by children who died from malaria
World malaria Report https://www.who.int/teams/global-malaria-programme/reports/world-malaria-report-2023
Analysis of CHAMPS data published in 2024 showed the median age for deaths from malaria was 22 months, compared to 10 months for infant and child deaths from other causes
59% of malaria deaths were in boys, and 1 in 4 occurred outside a health facility
30% of malaria deaths had another infection that also led to the child’s death (Figure)
Reference
Ogbuanu, I. U., Otieno, K., Varo, R., Sow, S. O., Ojulong, J., Duduyemi, B., Kowuor, D., Cain, C. J., Rogena, E. A., Onyango, D., Akelo, V., Tippett Barr, B. A., terKuile, F., Kotloff, K. L., Tapia, M. D., Keita, A. M., Juma, J., Assefa, N., Assegid, N., … Bassat, Q. (2024). Burden of child mortality from malaria in high endemic areas: Results from the CHAMPS network using minimally invasive tissue sampling. Journal of Infection, 88(3). https://doi.org/10.1016/j.jinf.2024.01.006








