
CHAMPS RESOURCES
CHAMPS Resources
A newborn who died from brain injury and aspiration pneumonia due to her mother’s obstructed labor
At a hospital, a first-time mother’s labor took longer than expected. Her water broke and contained meconium, a sign that her unborn baby had passed her first stool and may have been stressed.

Her nurse, the only available provider, ultimately helped her deliver a baby girl, but the baby was born limp and did not cry or breathe right away. The baby required oxygen and other interventions to stay alive. She remained weak, with irregular breathing and a fever despite treatments in the hospital. The baby died just 1 day after she was born.
In very young infants, clinical signs of illness overlap. It can be hard to determine what went wrong. Did the newborn die of infection or other complications of childbirth?
Determining the Cause
In this case, almost all CHAMPS laboratory results were negative for possible infectious causes of death, except for signs of one bacteria, E. coli, found in a swab of the baby’s rectum. This bacteria is commonly present after someone dies and, because it was not found in any of the baby’s tissues, was thought unlikely to have contributed to this baby’s death.
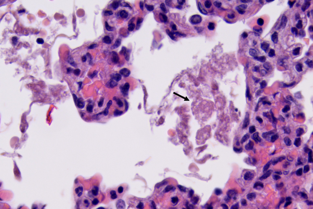
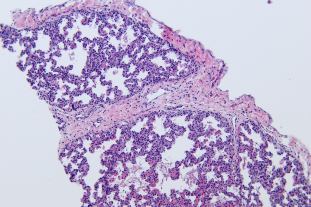
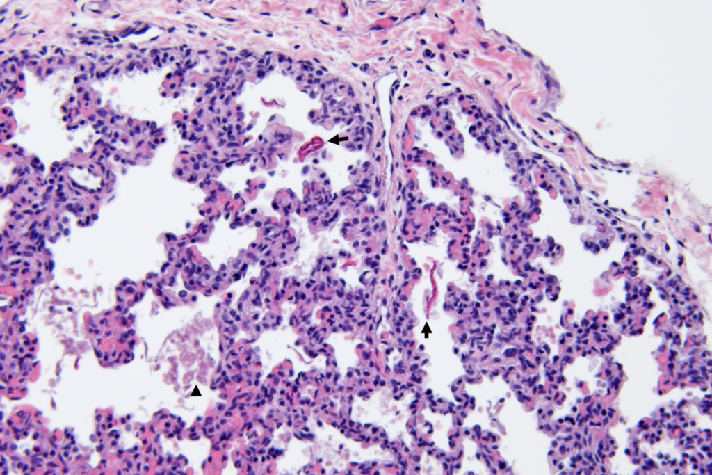
Pathology from the baby’s liver showed signs of stress, without signs of infection. Even though the pathology results were negative, these results valuably confirmed that the cause of death was not from an infection but from obstructed labor. The baby’s lungs also showed signs of intrauterine stress and aspiration without any bacteria or viruses identified.
Pathology images



Public Health Implications
This newborn baby girl’s story is all too common and all too short. While the baby’s mother tried to prepare for her delivery with regular prenatal care and attended five antenatal visits, she still did not have access to emergency obstetric care at the time her baby was born. Access to care could have helped this mother’s labor progress more quickly, helped her baby be born faster, and saved the baby girl’s life. Lack of access to emergency obstetric services and complications related to prolonged or obstructed labor are still common causes of neonatal death and stillbirth in many parts of the world–CHAMPS data help further demonstrate the need for these life-saving services.
Interested in CHAMPS’s pathology slide images?
Email data@champshealth.org to learn more!